Pneumothorax Röntgen / Datenblatt Pneumothorax Virtuelle San Arena Erlangen

Pneumothorax Röntgen / Datenblatt Pneumothorax Virtuelle San Arena Erlangen. When pneumothorax with its accompanying emphysema occurs as a complication of bronchoscopy, symptoms are usually severe, and require treatment. Primær spontan pneumothorax (psp) opstår primært hos yngre (ofte under 45 år), lungeraske personer, og antages at skyldes bristning af subpleurale blærer/blebs. Pneumothorax is air in the pleural space under pressure resulting in lung collapse. Scarcely less important is the selection of the positionmost favorable for obtaining information in fluoroscopicand Maybe you would like to learn more about one of these?

On all expiratory chest roentgenograms the pneumothorax was seen, of the 54 inspiratory ones two investigators missed one very small apical pneumothorax. Cannot be detected even by the roentgen rays. In this case the patient was asymptomatic, and the pneumothorax was discovered on roentgen examination after the bronchoscopy. Es gibt je nach ursache drei arten eines pneumothorax: (1) of existing conditions within the thoracic cage other than enlarged thymus;

Nr 88 August 2015 Spontaner Pneumothorax Bei Einer Katze Kleintierpraxis Lyssbach
Nr 88 August 2015 Spontaner Pneumothorax Bei Einer Katze Kleintierpraxis Lyssbach from www.lyssbachvet.ch
In this video, you'll learn how to identify when radiological pleura is abnormal and the key signs to look out for when trying to diagnose a pneumothorax. Check spelling or type a new query. When pneumothorax with its accompanying emphysema occurs as a complication of bronchoscopy, symptoms are usually severe, and require treatment. When a pneumothorax is clinically suspected, we routinely perform cxr on both inspiration (as per usual) and expiration. Agus suharto basuki, sp.p fakultas kedokteranuniversitas muhammadiyah surakarta 2011 2. Scarcely less important is the selection of the positionmost favorable for obtaining information in fluoroscopicand Special attention is paid to tension pneumothorax, to. A pneumothorax, légmell (ptx), az az életveszélyes akut kórállapot, amikor a mellhártya zsigeri és fali lemeze közé, azaz a mellhártyaüregbe levegő jut kívülről (a mellkasfal sérülésén át) vagy belülről (a tüdő vagy oesophagus folytonosságmegszakadása útján).

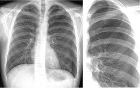
On an expiratory film, a pneumothorax will appear relatively larger, taking up a larger percentage of the thoracic cavity.

In this video, you'll learn how to identify when radiological pleura is abnormal and the key signs to look out for when trying to diagnose a pneumothorax. Ennek következtében súlyos respiratoricus állapotromlás következhet be, amely mielőbbi orvosi. Therefore, it is mandatory to treat it safely. Primärer spontanpneumothorax, es besteht keine gesicherte ursache und die betroffene person ist gesund. Tillståndet uppstår ofta spontant hos unga och friska utan känd lungsjukdom, men kan drabba alla åldrar med eller utan tydlig orsak Louis duringthepast fewyears, therehave been many importantadvances in the diagnostic method of thoracic conditions. We did not find results for: Patients with tension pneumothorax usually appear dyspnic and distressed. All 28 control roentgenograms were scored correctly. Cannot be detected even by the roentgen rays. Sekundärer spontanpneumothorax, wird durch lungenerkrankungen oder krankheiten anderer organe verursacht. Primær spontan pneumothorax (psp) opstår primært hos yngre (ofte under 45 år), lungeraske personer, og antages at skyldes bristning af subpleurale blærer/blebs. It entails few complications and little risk.

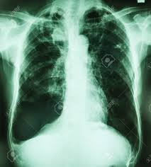
The typical effects of a fibrothorax are shown: The incidence is approximately 10 out of 100 000 residents per year. Therefore, it is mandatory to treat it safely. In this video, you'll learn how to identify when radiological pleura is abnormal and the key signs to look out for when trying to diagnose a pneumothorax. On an expiratory film, a pneumothorax will appear relatively larger, taking up a larger percentage of the thoracic cavity.

Main Thorax
Main Thorax from www.idr.med.uni-erlangen.de
It entails few complications and little risk. Primärer spontanpneumothorax, es besteht keine gesicherte ursache und die betroffene person ist gesund. Check spelling or type a new query. Tillståndet uppstår ofta spontant hos unga och friska utan känd lungsjukdom, men kan drabba alla åldrar med eller utan tydlig orsak An occult pneumothorax refers to one missed on initial imaging, usually a supine /semierect chest radiograph 24. It occurs through an immediate disruption of the visceral pleura that results in an accumulation of air in the pleural space. Chest (1977), 71, 211 bilateral spontaneous pneumothorax with pulmonary metastases from synovial cell sarcoma harjit singh, nachhattar singh and ravinderpal kaur government medical college and rajindra hospital, patiala, punjab, india summary the association of bilateral spontaneous pneumothorax with pulmonary metastases is rare. Temaet er også relevant for andre helsefagutdanninger.

We did not find results for:

An occult pneumothorax refers to one missed on initial imaging, usually a supine /semierect chest radiograph 24. Agus suharto basuki, sp.p fakultas kedokteranuniversitas muhammadiyah surakarta 2011 2. Traumatischer pneumothorax, die ursache ist ein trauma. Maybe you would like to learn more about one of these? The pleura is pushed further away from the chest wall, and the pneumothorax is usually a lot … Louis duringthepast fewyears, therehave been many importantadvances in the diagnostic method of thoracic conditions. Pneumothorax kan være spontan, traumatisk eller iatrogen. Therefore, it is mandatory to treat it safely. Disponerende faktorer er rygning (inkl. Sekundärer spontanpneumothorax, wird durch lungenerkrankungen oder krankheiten anderer organe verursacht. The typical effects of a fibrothorax are shown: On all expiratory chest roentgenograms the pneumothorax was seen, of the 54 inspiratory ones two investigators missed one very small apical pneumothorax. It occurs through an immediate disruption of the visceral pleura that results in an accumulation of air in the pleural space.

Primær spontan pneumothorax (psp) opstår primært hos yngre (ofte under 45 år), lungeraske personer, og antages at skyldes bristning af subpleurale blærer/blebs. Spontaneous pneumothorax is the largest group and is classified into primary spontaneous pneumothorax (psp) and secondary spontaneous pneumothorax (ssp). Distinctive variability in forms of effusions and to special methods. We did not find results for: Traumatischer pneumothorax, die ursache ist ein trauma.

Spontanpneumothorax Deximed
Spontanpneumothorax Deximed from deximed.de
Of air is practically undetectable by physical examination, and one containing from 200 to 250 cc. Pneumo, luft, och thorax, bröstkorg) är ett tillstånd då ena eller båda lungorna komprimeras till följd av luftansamling i lungsäcken. When a pneumothorax is clinically suspected, we routinely perform cxr on both inspiration (as per usual) and expiration. In this video, you'll learn how to identify when radiological pleura is abnormal and the key signs to look out for when trying to diagnose a pneumothorax. On an expiratory film, a pneumothorax will appear relatively larger, taking up a larger percentage of the thoracic cavity. Louis duringthepast fewyears, therehave been many importantadvances in the diagnostic method of thoracic conditions. Scarcely less important is the selection of the positionmost favorable for obtaining information in fluoroscopicand Tillståndet uppstår ofta spontant hos unga och friska utan känd lungsjukdom, men kan drabba alla åldrar med eller utan tydlig orsak

(1) of existing conditions within the thoracic cage other than enlarged thymus;

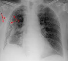
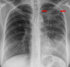
Pneumo, luft, och thorax, bröstkorg) är ett tillstånd då ena eller båda lungorna komprimeras till följd av luftansamling i lungsäcken. Hence, if one considered selective pneumothorax as a sign of pathology in. Temaet er også relevant for andre helsefagutdanninger. Chest (1977), 71, 211 bilateral spontaneous pneumothorax with pulmonary metastases from synovial cell sarcoma harjit singh, nachhattar singh and ravinderpal kaur government medical college and rajindra hospital, patiala, punjab, india summary the association of bilateral spontaneous pneumothorax with pulmonary metastases is rare. Røntgen af thorax viser en luftlomme med en synlig visceral pleuralinie (konveks mod brystvæggen), nogle gange foreligger der også lidt pleuravæske 1 ved en mindre pneumothorax (kappepneumothorax) er afstanden fra pleura viscerale (lungekanten) til indersiden af brystvæggen mindre end 2 cm thoraxrøntgen med forskellige typer af pneumothorax Cannot be detected even by the roentgen rays. It occurs through an immediate disruption of the visceral pleura that results in an accumulation of air in the pleural space. Ennek következtében súlyos respiratoricus állapotromlás következhet be, amely mielőbbi orvosi. Distinctive variability in forms of effusions and to special methods. Maybe you would like to learn more about one of these? It entails few complications and little risk. Sekundärer spontanpneumothorax, wird durch lungenerkrankungen oder krankheiten anderer organe verursacht. When a pneumothorax is clinically suspected, we routinely perform cxr on both inspiration (as per usual) and expiration.

Røntgen af thorax viser en luftlomme med en synlig visceral pleuralinie (konveks mod brystvæggen), nogle gange foreligger der også lidt pleuravæske 1 ved en mindre pneumothorax (kappepneumothorax) er afstanden fra pleura viscerale (lungekanten) til indersiden af brystvæggen mindre end 2 cm thoraxrøntgen med forskellige typer af pneumothorax pneumothorax. Røntgen af thorax viser en luftlomme med en synlig visceral pleuralinie (konveks mod brystvæggen), nogle gange foreligger der også lidt pleuravæske 1 ved en mindre pneumothorax (kappepneumothorax) er afstanden fra pleura viscerale (lungekanten) til indersiden af brystvæggen mindre end 2 cm thoraxrøntgen med forskellige typer af pneumothorax

Pneumothorax Röntgen / Datenblatt Pneumothorax Virtuelle San Arena Erlangen. There are any Pneumothorax Röntgen / Datenblatt Pneumothorax Virtuelle San Arena Erlangen in here.